Movora logo
Movora logo
Order Online

Browse and shop online using our dedicated regional stores.

Online Store:  

Education
  • Find Online CE
  • Find A Workshop
Our Brands
  • BioMedtrix
  • IMEX Veterinary
  • KYON
  • NGD
  • Spectrum / VetSpectrum
  • VetClarity
  • Veterinary Orthopedic Implants
  • Veterinary Transplant Services
  • VetPower
Solutions
  • Extracapsular Stabilization
  • Total Joint Replacement
  • VetClarity Imaging
About Us

KYON ALPS® TPLO

The ALPS® TPLO system offers surgeons a simple, robust, biological, titanium solution for all patients requiring a TPLO surgery.

The cutting edge manufacturing technologies used by KYON suppliers to produce the implants and instruments of the ALPS® Product Range hallow us to provide veterinary surgeons with the most advanced yet affordable plating system available.

[1] Seath Bleakley, Biomechanical Comparison of TPLO Performed With a Novel Titanium Locking Plate versus an Established Stainless Steel Locking Plate, Presented at KYON Symposium 2019, Boston, USA
alt text

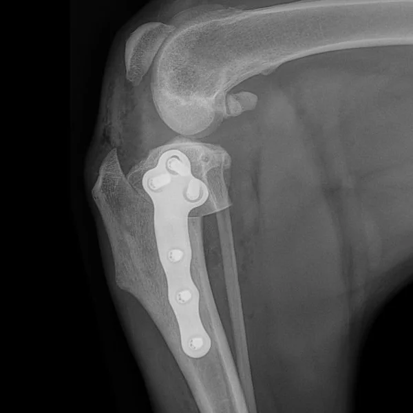
The ALPS® TPLO plate is an integral part of the ALPS® Product Range. The minimal contact design of the plate underside and preferred use of monocortical KLS™ screws minimize vascular damage,accelerate healing and reduce infection risk. KYON ALPS® TPLO gives surgeons advantages in and out of the operating room. The contoured shape and consistent locking mechanism make surgical application convenient and routine.

The main design objective

  • Minimize vascular damage to both periosteum and endosteum
  • Easy to use during the procedure
  • Use of biocompatible titanium and titanium alloys
alt text

ALPS® TPLO offers the following benefits:

Eliminates intra-operative contouring. With eight sizes for toy to giant breeds, the novel plate shape is optimized to match the TPLO construct and anatomy.

Low profile and smooth transitions improve comfort beneath the skin, ideal for sensitive patients with minimal soft tissue cover.

Manufactured from titanium alloys for supreme biocompatibility and strength, plates have a  22% stronger construct strength than competitors’ stainless steel locking plates [1].

Compression across the osteotomy is optional, performed using a custom drill sleeve and designated compression hole.

KLS™, featuring a novel thread shape and locking mechanism, are used across the ALPS Product Range. KLS™ screws can be used bicortically or monocortically.

alt text

Principles

Vascular damage is minimal because:

  • The underside of ALPS plating allows for for minimal contact with the bone, reducing compression of periosteal blood vessels
  • The endosteal blood supply is spared through the preferred use of locking, monocortical screws. Drilling depth is controlled with a drill stop limiting vascular damage within the medullary canal.

The plate is easy to use because:

  • The novel plate shape is optimized to match the TPLO construct and anatomy
  • A wide range of sizes allow the use in toy to giant breeds
  • Low profile and smooth transitions allow easy coverage with minimal soft tissue.

ALPS® Product Range uses only titanium or titanium alloys for all of its implants

  • Titanium and titanium alloys allow bone and soft tissue to make a close, adhering contact at the interfaces, preventing formation of a fluid-filled gap – a major risk for seeding and spread of infection
  • They offer superior mechanical properties with a favorable tradeoff between ductility and strength.

Interested in purchasing KYON ALPS TPLO products?

Shop KYON ALPS TPLO

Interested in enrolling in a KYON workshop?

Enroll Today

Publications - More Information

Keep Up-to-date

Don't miss any fantastic offers or important news by joining our newsletter.

Movora logo

About Us
Collaborate
Careers
Our Brands
Sustainability
Blog
Contact Us
Evertreen and Movora
Quality Statement

News
Service Centers & Representatives
Education
Submit a Product Idea
Resources
  • youtube icon
  • facebook icon
  • linkedin icon
  • instagram icon
  • Privacy Policy
  • Cookie Policy
  • Whistleblowing
  • Limit the Use of Sensitive Personal Data
  • Do Not Share or Sell My Personal Information

© 2026 Movora